CURSO INTENSIVO - VALENCIA, ESPAÑA

DISEÑO DE SONRISA INTERDISCIPLINAR

Dos días de curso intensivo para dominar de forma integral el diseño de sonrisa.

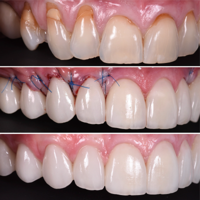
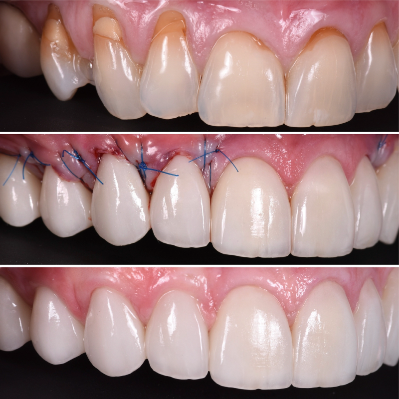
"Bajo mi metodología, aprenderás Integración de la Odontología Restauradora y la Cirugía Estética Periodontal”. Dr. David Montalvo Arias

  • VIERNES 27
    • Introducción al Diseño de Sonrisa
    • Flujo de trabajo en el Diseño de Sonrisa
    • Protocolo clínico para un cambio de sonrisa predecible
  • SÁBADO 28
    • Cirugía Perioplástica aplicada al Diseño de Sonrisa
    • Sonrisa gingival
    • Fundamentos para el tratamiento de las Recesiones Gingivales
    • Integración de los Tratamientos Restauradores y Periodontales
    • Casos clínicos
  • Identificar y aplicar parámetros periodontales estéticos claves en el diseño de sonrisa
  • Implementar el flujo de trabajo estructurado y protocolizado
  • Diagnosticar la etiología de la sonrisa gingival
  • Ejecutar un alargamiento coronario estético

PLAZAS

Plazas limitadas

EL CURSO INCLUYE

Coffees de viernes y sábado

Comidas de viernes y sábado

Cena del sábado

HORARIO DEL CURSO

Viernes y sábado de 9:30 a 19:30h.

Única EDICIÓN

27 y 28 de noviembre de 2026 INSCRIPCIONES ABIERTAS

SEDE

CLÍNICA TERESA ALEGRE
Dirección: Plaça del Poble, 8, 46460 Silla, Valencia